Découverte d’un nouveau mécanisme clé de la progression des maladies rénales

Découverte d’un nouveau mécanisme clé de la progression des maladies rénales
Découverte d’un nouveau mécanisme clé de la progression des maladies rénales

Découverte d’un nouveau mécanisme clé de la progression des maladies rénales
manon.landurant

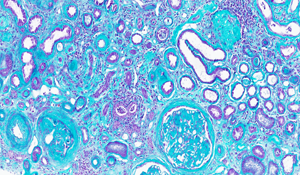
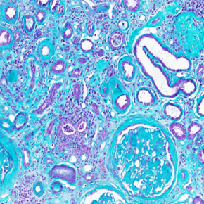
Les maladies rénales chroniques ont un point commun : une fois amorcées, quelle qu’en soit la cause et même si celle-ci est traitée, elles finissent toujours par s’aggraver. Deux équipes de l’Inserm, du CNRS et de l’Université Paris Cité viennent de découvrir le chef d’orchestre de ce mécanisme de…
alt

© Fabiola Terzi, Marco Pontoglio/Inserm
Retour en haut