
La stéatohépatite associée à un dysfonctionnement métabolique (MASH), anciennement connue sous le nom de NASH, affecte jusqu’à 6 % de la population mondiale. Mais une étude récente révèle que cette maladie n’est pas uniforme, mais se divise en deux types distincts.
### Deux pathologies, deux origines
La MASH de type 1 a une origine génétique, tandis que la MASH de type 2 est liée à des troubles métaboliques. Cette découverte, issue du projet RHU PreciNASH, a nécessité la collaboration de plusieurs équipes de recherche.
### Caractéristiques biologiques différentes
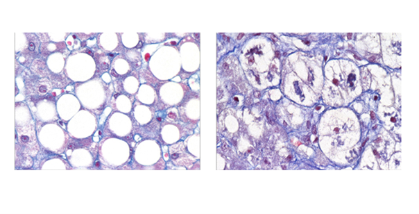
Les deux types de MASH présentent des caractéristiques biologiques distinctes. La MASH de type 1 est caractérisée par une accumulation de graisse dans le foie, une inflammation et une fibrose. La MASH de type 2 se manifeste plutôt par une inflammation et une fibrose sans accumulation excessive de graisse.
### Évolutions distinctes
Les deux types de MASH ont des évolutions différentes. La MASH de type 1 est plus susceptible d’évoluer vers une cirrhose ou un cancer du foie. La MASH de type 2 a une évolution plus bénigne, avec un moindre risque de complications graves.
### Implications pour le traitement
Cette nouvelle classification a des implications importantes pour le traitement de la MASH. Les thérapies ciblant l’inflammation et la fibrose pourront être plus efficaces pour la MASH de type 2, tandis que les traitements visant à réduire l’accumulation de graisse seront plus appropriés pour la MASH de type 1.
### Perspectives
La distinction entre les deux types de MASH ouvre de nouvelles perspectives pour la recherche et le traitement. Elle permettra une meilleure compréhension de la maladie et une personnalisation des stratégies thérapeutiques. Les chercheurs espèrent que cette découverte conduira à des résultats améliorés pour les patients atteints de MASH.
### Mots-clés :
– Stéatohépatite associée à un dysfonctionnement métabolique (MASH)
– NASH
– Type 1
– Type 2
– Fibrose
– Inflammation
– Accumulation de graisse
