

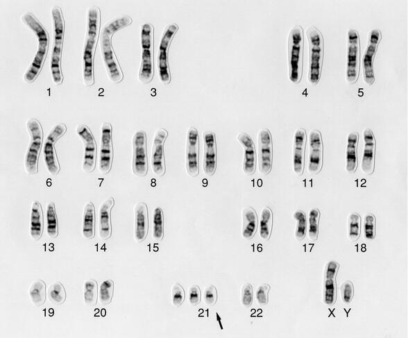
Marthe Gautier est à l’origine de la découverte du chromosome surnuméraire de la trisomie 21, anomalie génétique qui touche 50 000 personnes en France. À l’occasion de la Journée mondiale de la trisomie 21, retour sur le parcours de cette scientifique invisibilisée, avec la biologiste Julie Batut.
