

La stéatohépatite associée à un dysfonctionnement métabolique (MASH), autrefois connue sous le nom de NASH, est une maladie hépatique chronique qui affecte environ 4 à 6 % de la population adulte mondiale. Une récente étude a bouleversé les connaissances établies en révélant l’existence de deux formes distinctes de MASH.
**Un nouveau visage pour la MASH**
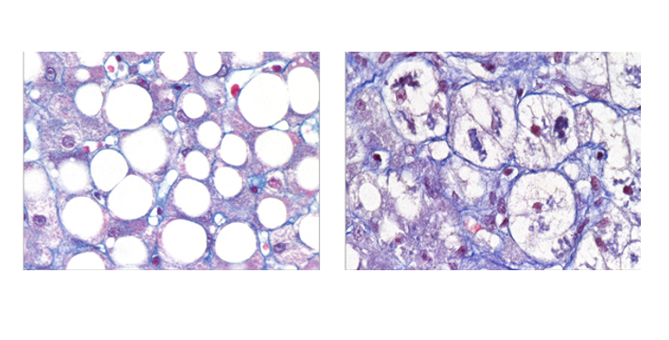
Alors qu’on pensait qu’il n’existait qu’un seul type de MASH, les chercheurs ont découvert que la maladie se présente sous deux formes bien différentes :
* **MASH de type 1 (MASH-1)** : caractérisée par une inflammation hépatique sévère, une accumulation de graisse excessive et une fibrose.
* **MASH de type 2 (MASH-2)** : moins sévère, avec une inflammation hépatique réduite, une accumulation de graisse modérée et une fibrose absente ou légère.
**Les causes de la divergence**
Les raisons sous-jacentes de cette division sont encore inconnues, mais les chercheurs pensent que des facteurs génétiques, environnementaux et liés au mode de vie pourraient jouer un rôle. La MASH-1, plus sévère, est associée à l’obésité, au diabète et à une consommation excessive d’alcool, tandis que la MASH-2 semble être liée à d’autres maladies métaboliques, comme le syndrome métabolique ou l’hypercholestérolémie.
**Implications pour le traitement**
Cette découverte a des implications majeures pour le traitement de la MASH. Les patients atteints de MASH-1 nécessitent des interventions médicales agressives pour prévenir la progression de la maladie vers la cirrhose et l’insuffisance hépatique. En revanche, les patients atteints de MASH-2 pourraient bénéficier d’une approche plus conservatrice, car la maladie est moins susceptible d’évoluer vers des complications graves.
« Cette nouvelle compréhension de la MASH nous permettra de mieux cibler les traitements et d’améliorer les résultats pour les patients », a déclaré le Dr François Pattou, chercheur principal de l’étude.
**Perspectives d’avenir**
Les chercheurs poursuivent leurs travaux pour mieux comprendre les causes et les mécanismes des deux formes de MASH. Ils espèrent que de futures études permettront d’identifier des marqueurs spécifiques et des thérapies ciblées pour chacune de ces formes, ouvrant ainsi la voie à des options de traitement plus personnalisées.
